
昨年12月某日
このほたる野歯科医院で、富山県初(かもしれない)の治療が行われた
義歯、ブリッジ、そしてインプラント
それ以外の第4の選択肢と言っていい治療である
患者さんは20代の女性
咬み合わせが悪く、1本の歯がグラグラになり、ついには抜歯に至った
その後、そこに歯を入れる事になるのだが
どのようなものを入れれば良いか
そんな話だ
1本の入れ歯はまあ、論外だ 20代だし 国によっては認められていない(誤嚥があるから)
インプラントは手術が恐いし、長期に及ぶ
ブリッジという手は無難だが、抜歯した両隣の歯は神経が生きている しかも、この娘は少々麻酔が効きづらい
そこで提案したのがヒューマンブリッジという新しい方法である
2008年だかに韓国で考案されて、今や先進国では広く研究が進んでいる
日本にも数年前に入ってきた
・・・余談だが、韓国産と言えば日本では怪訝な顔をする方も未だ少なくないだろう だが、すでにこの分野において(その他も多いことを忘れてはいけない)日本は遅れをとっているのが事実である事を認めなくてはならない
患者さんは顔出しNGだが、写真の掲載も了承してくれた
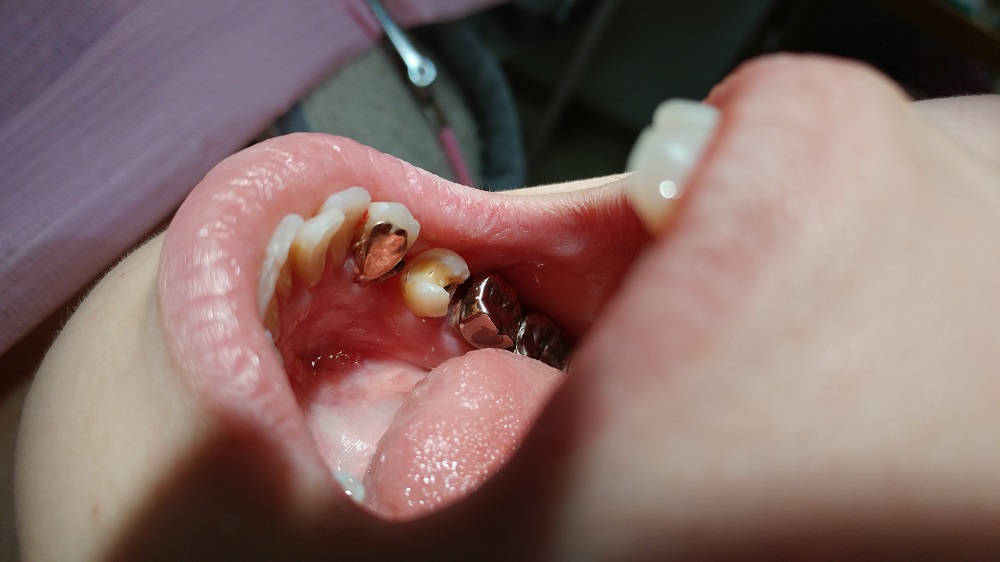
これが、抜歯した後の状態である
奥の歯には金属の詰め物(インレー)と白いレジンの詰め物が施してある
素人では判りづらいだろうが、近心側 解りやすく言えば、抜歯した1つ奥の歯の歯を抜いた側には白いセメント「レジン」が詰まっている
まず、奥歯の詰め物を全部除去して少し形を整える
また一つ手前の犬歯にはパーツを入れるための溝を掘る
ごく浅い、エナメル質に限定した溝の為に麻酔もしなくて良いのが利点だ
奥の歯に詰め物がなければ、ここも少しの溝を掘るだけになった事だろう 麻酔なしで
そして型をとる まずはそれだけである
後日、技工所が、完成したヒューマンブリッジを持ってくる
それを試適する
ダミーの歯はまだ蝋で出来ているので色は不自然に白いが
問題がなければセットできるように加工してくれる
そして後日にそれを装着する
3つのパーツから出来上がっており
この場合は犬歯から
ついで奥のインレー 見てお分かりだろうが、金属のフックのようなものがある
ここにダミーの歯をセットする
外側から見ると犬歯は天然のまま手つかずの状態に見える
奥歯も詰め物でなければそうなるし、白い詰め物をして、その上からも可能である
審美的にも優れている
さらに支台となる2本の歯が平衡でない場合
泣く泣く歯の神経を取らなければいけないことがある
歯の寿命が著しく縮むのを承知で
しかし、この処置は3つのパーツに分かれているためにその必要もない
そして、エナメル質を残しているので、万一の時にはやり直しがきく
他の治療に移る事も充分可能であるのだ全く持って素晴らしい治療方法ではないだろうか
県内初かもしれない・・・というのは
これを手掛けている技工所が少なく、県内で知る限り1つ
そこで初めてだと言われたのでそう自称しているのであるが・・・
もしかしたら、どなたかが個人的に輸出など行ってやっている可能性はある
兎も角も・・・ その技工所いわく県内初のヒューマンブリッジは
このようにしてセットされました