忍者ブログ

富山県射水市 ほたる野歯科医院 院長ブログ  「この院長はこう語った」

HPは http://dentalsate.info/ に引っ越しました

[PR]

×

[PR]上記の広告は3ヶ月以上新規記事投稿のないブログに表示されています。新しい記事を書く事で広告が消えます。

ブラキシズム

さて、久しぶりに歯医者らしい事を書いているが昨日の続き
ブラキシズムについてであるが、けっこう見落とされやすい これはなぜであるか

ブラキシズムというのは歯ぎしりや、くいしばりに代表される
これらは基本的には「歯が丈夫な人」だからこそできる事である
そして、よく噛む歯というのは「自浄作用」が働く
野生の生物が虫歯にならないのは加工されていない、歯につきにくい食材を噛むことによって、自然にこすれて綺麗になる作用があるからである
 
したがって、ブラキシズムのある人は「虫歯になりにくい人」が多い
 
だが、これがくせものである
けっして「虫歯にならない」わけではないのである
そういう人が虫歯になり詰め物をする
詰めた物がセメントであれば、歯ぎしりのせいで外れてしまいやすい
 
また金属やポーセレンを詰めた場合・・・
歯と金属では硬さが違う、つめた部分から歯や歯茎が弱り 最悪の場合は抜かなくてはならないハメになりやすいのだ
 
ブラキシズムのある人は「金」を詰めるのが理想だろう ちょっと高つくが・・・
 
だが、基本的に虫歯になりにくく 歯医者に来る習慣もない
思い切って歯医者の扉を開けた時には 手遅れ・・・ということがかなりの率である事になってしまっている
 
ブラキシズムのある人に特徴的なものがある
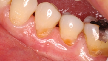
4bd892d4.jpgまずこれ 楔状欠損という
歯の根元が削れる 高度の圧力が歯にかかり歯が耐えられないのである
木こりが木の根元を斧で切るように、根元が楔状に削れるのである
 
00f72645.JPG更に、歯の先端がこのように窪む人が多い
これは主に前歯部で見られるような気がする
これってなんか名前あったっけ?つけられててもいいような気がするんだが
まだないなら学会に発表して私の名前つけてもらおうか・・・無理っぽいが
 
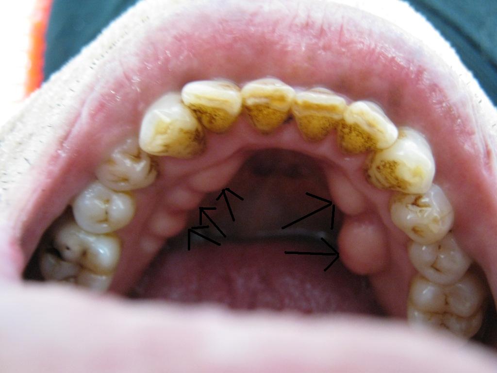
ad10d5ca.JPGそしてこれ、歯茎にコブがある人が多い
基本的に「噛みたい」人の病気である
骨の密度が高くなり、コブさえ出来る程の骨密度
いったい何百キロの力で噛んでいるのか?
コブのある人は歯がなくなった場合も入れ歯ができない
手術してコブをとってから入れ歯を作るという・・・辛い目に合わなくてはならない
 
これらが、ブラキシズムのある人よく見られる特徴である
 
ちなみに上記の写真は患者さんに特別の許可を戴いて掲載しました
ありがとうございます
PR

Comment

お名前
タイトル
E-MAIL
URL
コメント
パスワード

カレンダー

10 2025/11 12
S M T W T F S
1
2 3 4 5 6 7 8
9 10 11 12 13 14 15
16 17 18 19 20 21 22
23 24 25 26 27 28 29
30

フリーエリア

最新CM

[03/29 ノーザンフィールド]
[04/11 Tsujikin]
[01/09 本人の母]
[08/09 Tsujikin]
[02/14 くらりねっとふき]

最新TB

プロフィール

HN:
院長
性別:
男性
趣味:
陳式太極拳 音楽(大学時代に管弦楽団に所属、ファゴットと指揮を担当) 酒(なぜかバーボンは嫌い) 犬(ポメラニアンを飼っている) 読書(漫画も多数)

バーコード

ブログ内検索

カウンター

アクセス解析

お天気情報

フリーエリア

ブログの評価 ブログレーダー

Copyright © 富山県射水市 ほたる野歯科医院 院長ブログ  「この院長はこう語った」 : All rights reserved

TemplateDesign by KARMA7

忍者ブログ [PR]